Introducing the Invisalign® System with mandibular advancement featuring occlusal blocks
The first integrated clear aligner product from Align with solid blocks to minimize crushing is designed to treat Class II malocclusion while simultaneously aligning the teeth.




Learn more about transforming your approach to Class II cases


THE INVISALIGN® SYSTEM IS REDEFINING CLASS II TREATMENT IN GROWING PATIENTS
Efficient treatment.
Elevated patient comfort1
and compliance2.
Predictable tooth movement.
The Invisalign System with mandibular advancement featuring occlusal blocks minimizes the need for multiple appliances to treat Class II malocclusions while simultaneously aligning the teeth. It is made from our proprietary SmartTrack™ material, which is predictable and more comfortable than traditional appliances1. Which is important, because patient comfort plays an important role in adherence to prescribed wear times and achieving optimal outcomes2.




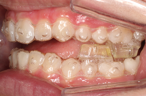
How occlusal blocks work
Invisalign clear aligners with integrated blocks are positioned on the occlusal surface.
When the patient occludes in the forward position, the occlusal blocks engage in advancing and holding the mandible.
The system moves the jaw forward while simultaneously moving teeth and treats Class II malocclusion, including cases with severe deep bite.




Clinical use case
The Invisalign® System with mandibular advancement featuring occlusal blocks is a new treatment innovation designed to treat all types of Class II malocclusions.
Patients in growth spurt (aged 10-16)
Retrognathic Class II malocclusions.
Deep overbite <7mm
Patients exclusion criteria:
1st molars not fully erupted
Missing any second upper premolar or primary molar
Missing any lower premolar or primary molar







